Somos la suma de cuatro hospitales: el General, el Infantil, el de la Mujer y el de Traumatología, Rehabilitación y Quemados. Estamos ubicados en el Vall d'Hebron Barcelona Hospital Campus, un parque sanitario de referencia internacional donde la asistencia es una rama imprescindible.
El paciente es el centro y el eje de nuestro sistema. Somos profesionales comprometidos con una asistencia de calidad y nuestra estructura organizativa rompe las fronteras tradicionales entre los servicios y los colectivos profesionales, con un modelo exclusivo de áreas de conocimiento.
¿Quieres saber cómo será tu estancia en el Hospital Universitario Vall d'Hebron? Aquí encontrarás toda la información.
La apuesta por la innovación nos permite estar en vanguardia de la medicina, proporcionando una asistencia de primer nivel y adaptada a las necesidades cambiantes de cada paciente.
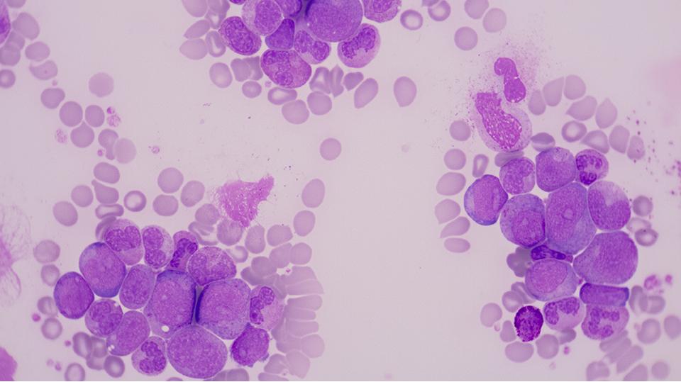
La leucemia aguda comprende un conjunto de neoplasias del sistema hematopoyético caracterizado por la proliferación y acumulación importante de células inmaduras en la médula ósea en primera instancia y después en la sangre con gran heterogeneidad clínica y biológica. Las leucemias agudas son proliferaciones clonales (célula tumoral que deriva de una única célula inicial y que acumula varias mutaciones genéticas que acabarán desarrollando la enfermedad) de células madre sanguíneas alteradas. En condiciones normales, las células madre multipotentes dan lugar a células progenitoras de las células sanguíneas, mediante un proceso de diferenciación y proliferación celular mediado por mecanismos de la propia célula y por los tejidos que lo rodean. Las células sanguíneas en condiciones normales migran a la sangre y a los tejidos, siendo indispensables para el correcto funcionamiento del organismo.
En las leucemias agudas, la acumulación de varias alteraciones genéticas y moleculares da lugar a la progresiva acumulación de estas células que sustituyen a las células sanguíneas normales, es el llamado "hiato leucémico", las células progenitoras (blastos) no maduran y se acumulan en la médula ósea y la sangre periférica. La sintomatología puede ser muy leve e inespecífica al principio y deriva de la falta de células sanguíneas principalmente y a veces, de la infiltración de tejidos. Se trata de enfermedades muy graves que requieren tratamientos quimioterápicos para su control y a menudo, un trasplante de progenitores de médula ósea.
En muchos casos no hay síntomas importantes al principio. Estos derivan fundamentalmente de la falta de células sanguíneas y pueden ser cansancio, sangrados, infecciones y más raramente falta de apetito, dolores óseos, dificultad respiratoria o síntomas neurológicos. En la exploración física podemos encontrar palidez, hematomas, sangrado mucoso, febrícula, infiltración de encías u otros órganos (piel, bazo, hígado, etc.).
La media de edad para las leucemias agudas en general es de 67 años, pero puede afectar a personas de cualquier edad. La leucemia aguda es la neoplasia más frecuente de la edad pediátrica, siendo más habitual la estirpe linfoide. En la población adulta es más frecuente la estirpe mieloide.
El diagnòstic de sospita el farem a partir d'un conjunt d'aspectes que inclouen la història clínica, l'exploració física i l'hemograma. La confirmació diagnòstica l'obtindrem mitjanant la punció de la medul•la òssia a on estudiarem les cèl•lules neoplàsiques (blastes) mitjançant la microscòpia òptica, la citometria de fluix multiparamètrica, els estudis de citogenètica i de biologia molecular.
Está basado en la quimioterapia. Actualmente hay en desarrollo nuevos fármacos como la inmunoterapia o tratamientos dirigidos contra alteraciones biológicas específicas (terapia individualizada). Si no está contraindicado, puede ser necesario un trasplante de progenitores hematopoyéticos una vez alcanzada la respuesta. Las estrategias terapéuticas se adaptan por una parte a la situación del paciente (edad, enfermedades concomitantes, etc.) y por la otra, a las características biológicas de la enfermedad.
Son el hemograma y la punción de médula ósea.
Desgraciadamente no disponemos de ninguna herramienta para prevenir el desarrollo de las leucemias agudas. No se conocen exactamente los mecanismos que provocan que una persona desarrolle esta enfermedad. Se han descrito algunos factores que pueden estar relacionados, como los tratamientos quimioterápicos o de radioterapia previos o la exposición a determinados tóxicos. Se ha observado también una predisposición en algunas enfermedades congénitas y casos con asociación familiar.
Donación de médula ósea
La aceptación de estas condiciones supone que dais el consentimiento al tratamiento de vuestros datos personales para la prestación de los servicios que solicitáis a través de este portal y, si procede, para realizar las gestiones necesarias con las administraciones o entidades públicas que intervengan en la tramitación. Podéis ejercer los derechos mencionados dirigiéndoos por escrito a web@vallhebron.cat, indicando claramente en el asunto “Ejercicio de derecho LOPD”. Responsable: Hospital Universitario Vall d’Hebron (Instituto Catalán de la Salud). Finalidad: Suscripción al boletín del Vall d’Hebron Barcelona Hospital Campus, donde recibiréis noticias, actividades e información de interés. Legitimación: Consentimiento del interesado. Cesión: Sí procede, VHIR. No se prevé ninguna otra cesión. No se prevé transferencia internacional de datos personales. Derechos: Acceso, rectificación, supresión y portabilidad de los datos, así como limitación y oposición a su tratamiento. El usuario puede revocar su consentimiento en cualquier momento. Procedencia: El propio interesado. Información adicional: La información adicional se encuentra en https://hospital.vallhebron.com/es/politica-de-proteccion-de-datos.