Somos la suma de cuatro hospitales: el General, el Infantil, el de la Mujer y el de Traumatología, Rehabilitación y Quemados. Estamos ubicados en el Vall d'Hebron Barcelona Hospital Campus, un parque sanitario de referencia internacional donde la asistencia es una rama imprescindible.
El paciente es el centro y el eje de nuestro sistema. Somos profesionales comprometidos con una asistencia de calidad y nuestra estructura organizativa rompe las fronteras tradicionales entre los servicios y los colectivos profesionales, con un modelo exclusivo de áreas de conocimiento.
¿Quieres saber cómo será tu estancia en el Hospital Universitario Vall d'Hebron? Aquí encontrarás toda la información.
La apuesta por la innovación nos permite estar en vanguardia de la medicina, proporcionando una asistencia de primer nivel y adaptada a las necesidades cambiantes de cada paciente.
El XV Curso Teórico-práctico de Ecocardiografía Básica y de Ecocardiografía Avanzada en Medicina Intensiva, Anestesia y Reanimación ha sido un éxito de convocatoria, con más de 150 asistentes.
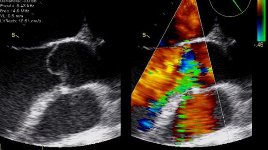
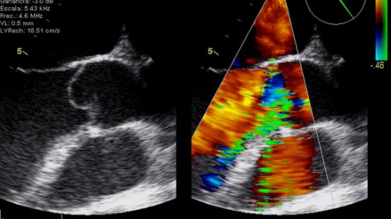
Gracias al uso de ultrasonidos, la ecocardiografia permite estudiar el tamaño, el funcionamiento y los movimientos del corazón. Esta es la técnica diagnóstica más utilizada en cardiología. A pesar de que los cardiólogos son los profesionales sanitarios que mejor dominan este procedimiento, hay otros profesionales que también necesitan conocer cómo funciona. Como explica el Dr. Artur Evangelista, director del Curso Teórico-práctico de Ecocardiografía Básica y de Ecocardiografia Avanzada en Medicina Intensiva, Anestesia y Reanimación, “médicos de familia, internistas o neurólogos también necesitan realizar ecocardiografías para tratar a sus pacientes”. De este modo, el Curso Teórico-práctico de Ecocardiografía Básica y de Ecocardiografía Avanzada en Medicina Intensiva, Anestesia y Reanimación consta de dos partes. “Una primera parte de conocimientos básicos para que estos profesionales, y también los cardiólogos que están empezando, puedan realizar ecocardiografías y detectar posibles problemas. La ecocardiografía te da imágenes de cómo está el corazón, pero estas imágenes, está claro, se tienen que saber interpretar, que es lo que enseñamos en este curso —señala el Dr. Artur Evangelista—. Si estos profesionales detectan alguna posible patología, después pueden derivar al paciente al cardiólogo, que es el especialista”.
La segunda parte del curso estaba dirigida a los profesionales que tienen más experiencia en el uso de esta herramienta, como son los anestesistas o los intensivistas. “Estos profesionales ya no se dedican a detectar patologías para derivarlas, sino que tratan a enfermos críticos, patología pulmonar o pacientes politraumáticos, entre otras”, añade el Dr. Artur Evangelista.
El curso ha combinado seminarios teóricos y talleres prácticos para mostrar, entre otros aspectos, las bases de la ecocardiografía y la anatomía ecocardiográfica, la optimización del ecocardiógrafo, el Doppler cardíaco, el uso de la ecocardiografía en el shock, el dolor torácico agudo, el síndrome coronario agudo, la insuficiencia cardíaca, el preoperatorio, la ecocardiografía transesofàgica o la ecografía pulmonar. Uno de los aspectos más destacados ha sido el uso de simuladores, para acercar la formación a las situaciones reales de práctica clínica que se pueden encontrar los profesionales. Los simuladores aumentan la destreza en el estudio y la interpretación de las imágenes y permiten analizar un amplio número de patologías. Esta herramienta se ha convertido en un elemento imprescindible en la formación teórico-práctica en ecocardiografía.
El Dr. Artur Evangelista remarca que “la ecocardiografia es una herramienta muy útil, que usa mucha gente, pero que exige un buen aprendizaje. En este sentido, en Vall d’Hebron fuimos pioneros en la formación de los no cardiólogos con esta herramienta cuando pusimos en marcha este curso, ya hace 15 años”.
La aceptación de estas condiciones supone que dais el consentimiento al tratamiento de vuestros datos personales para la prestación de los servicios que solicitáis a través de este portal y, si procede, para realizar las gestiones necesarias con las administraciones o entidades públicas que intervengan en la tramitación. Podéis ejercer los derechos mencionados dirigiéndoos por escrito a web@vallhebron.cat, indicando claramente en el asunto “Ejercicio de derecho LOPD”. Responsable: Hospital Universitario Vall d’Hebron (Instituto Catalán de la Salud). Finalidad: Suscripción al boletín del Vall d’Hebron Barcelona Hospital Campus, donde recibiréis noticias, actividades e información de interés. Legitimación: Consentimiento del interesado. Cesión: Sí procede, VHIR. No se prevé ninguna otra cesión. No se prevé transferencia internacional de datos personales. Derechos: Acceso, rectificación, supresión y portabilidad de los datos, así como limitación y oposición a su tratamiento. El usuario puede revocar su consentimiento en cualquier momento. Procedencia: El propio interesado. Información adicional: La información adicional se encuentra en https://hospital.vallhebron.com/es/politica-de-proteccion-de-datos.