Som la suma de quatre hospitals: el General, l'Infantil, el de la Dona i el de Traumatologia, Rehabilitació i Cremats. Ens trobem dins el Vall d’Hebron Barcelona Hospital Campus, un parc sanitari de referència internacional on l’assistència és una branca imprescindible.
El pacient és el centre i l'eix del nostre sistema. Som professionals compromesos amb una assistència de qualitat i la nostra estructura organitzativa trenca les fronteres tradicionals entre els serveis i els col·lectius professionals, amb un model exclusiu d'àrees de coneixement.
Vols saber com serà la teva estada a l’Hospital Universitari Vall d’Hebron? Aquí trobaràs tota la informació.
L’aposta per la innovació ens permet estar a l'avantguarda de la medicina, proporcionant una assistència de primer nivell i adaptada a les necessitats canviants de cada pacient.
La biòpsia renal és un element de diagnòstic fonamental en el camp de la Nefrologia. Les malalties del ronyó tenen una traducció en l'estat general de la persona i també es revelen en les analítiques de sang i orina practicades. De la mateixa manera les proves d'imatge (ecografia renal, TAC, ressonància nuclear magnètica), donen informació sobre el diagnòstic de la malaltia renal, però la prova bàsica i imprescindible per al diagnòstic de la malaltia renal és la biòpsia renal.
Consisteix en l'extracció amb una agulla especial d'una mostra mil·limètrica de teixit renal. La punció es fa sota control ecogràfic amb anestèsia local amb sedació o sense, segons les característiques del pacient.
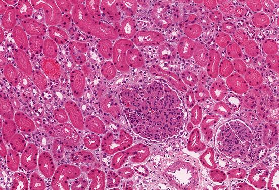
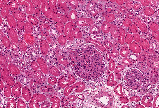
La mostra obtinguda es processa pel Servei d'Anatomia Patològica amb l'ús de diferents tècniques per a l'observació sota microscòpia òptica, microscòpia de fluorescència i microscòpia electrònica. Així es poden observar els diferents compartiments del ronyó: els glomèruls, els túbuls, i els vasos sanguinis. També es poden fer tincions especials per a revelar infeccions i toxicitat produïda per diferents fàrmacs.
És molt útil tant en el diagnòstic de malaltia dels ronyons propis, com a prova per al seguiment del trasplantament renal.
La biòpsia renal no està exempta de complicacions, poc freqüents i que es poden solucionar, però que calen esmentar: es pot produir emissió d'orina amb sang, situació generalment autolimitada. També es pot produir un hematoma renal, que no requereix tampoc tractament i es pot produir també accidentalment una comunicació entre una artèria i una vena, situació que requereix fer un cateterisme i tancar la comunicació anòmala.
És una pràctica freqüent en el Servei de Nefrologia, i les complicacions observades estan sobre l'1-2 %, amb resolució posterior, per la qual cosa es pot considerar un procediment rutinari i segur.
L’acceptació d’aquestes condicions, suposa que doneu el consentiment al tractament de les vostres dades personals per a la prestació dels serveis que sol·liciteu a través d’aquest portal i, si escau, per fer les gestions necessàries amb les administracions o entitats públiques que intervinguin en la tramitació. Podeu exercir els drets esmentats adreçant-vos per escrit a web@vallhebron.cat, indicant clarament a l’assumpte “Exercici de dret LOPD”. Responsable: Hospital Universitari Vall d’Hebron (Institut Català de la Salut). Finalitat: Subscripció al butlletí del Vall d’Hebron Barcelona Hospital Campus on rebrà notícies, activitat i informació d’interès. Legitimació: Consentiment de l’interessat. Cessió: Si escau, VHIR. No es preveu cap altra cessió. No es preveu transferència internacional de dades personals. Drets: Accés, rectificació, supressió i portabilitat de les dades, limitació i oposició al seu tractament. L’usuari pot revocar el seu consentiment en qualsevol moment. Procedència: El propi interessat. Informació Addicional: La informació addicional es troba a https://hospital.vallhebron.com/politica-de-proteccio-de-dades