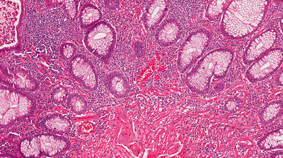
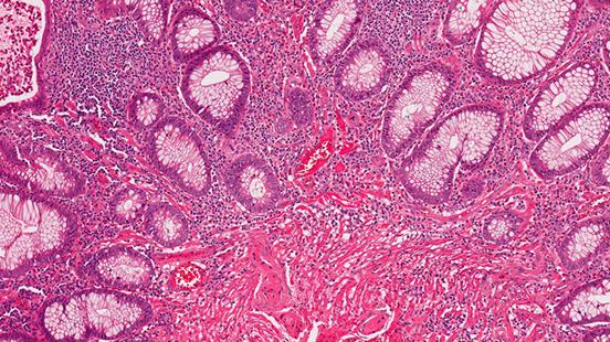
Biòpsia de budell prim

L’objectiu de la biòpsia intestinal és obtenir un fragment superficial de la mucosa del budell prim per analitzar-la amb el microscopi. Mitjançant aquesta mostra es pot determinar si hi ha cap malaltia o problema de salut i com evoluciona.

Biòpsia de budell prim a Vall d'Hebron
Autoria: Vall d'Hebron
Data de creació: 17.12.2021, 10:03
Data de modificació: 14.06.2022, 16:17
Comparteix-lo

Subscriu-te als nostres butlletins i forma part de la vida del Campus

Aquesta pregunta es fa per comprovar si vostè és o no una persona real i impedir l'enviament automatitzat de missatges brossa.

L’acceptació d’aquestes condicions, suposa que doneu el consentiment al tractament de les vostres dades personals per a la prestació dels serveis que sol·liciteu a través d’aquest portal i, si escau, per fer les gestions necessàries amb les administracions o entitats públiques que intervinguin en la tramitació. Podeu exercir els drets esmentats adreçant-vos per escrit a web@vallhebron.cat, indicant clarament a l’assumpte “Exercici de dret LOPD”.
Responsable: Hospital Universitari Vall d’Hebron (Institut Català de la Salut).
Finalitat: Subscripció al butlletí del Vall d’Hebron Barcelona Hospital Campus on rebrà notícies, activitat i informació d’interès.
Legitimació: Consentiment de l’interessat.
Cessió: Si escau, VHIR. No es preveu cap altra cessió. No es preveu transferència internacional de dades personals.
Drets: Accés, rectificació, supressió i portabilitat de les dades, limitació i oposició al seu tractament. L’usuari pot revocar el seu consentiment en qualsevol moment.
Procedència: El propi interessat.
Informació Addicional: La informació addicional es troba a https://hospital.vallhebron.com/politica-de-proteccio-de-dades