Som la suma de quatre hospitals: el General, l'Infantil, el de la Dona i el de Traumatologia, Rehabilitació i Cremats. Ens trobem dins el Vall d’Hebron Barcelona Hospital Campus, un parc sanitari de referència internacional on l’assistència és una branca imprescindible.
El pacient és el centre i l'eix del nostre sistema. Som professionals compromesos amb una assistència de qualitat i la nostra estructura organitzativa trenca les fronteres tradicionals entre els serveis i els col·lectius professionals, amb un model exclusiu d'àrees de coneixement.
Vols saber com serà la teva estada a l’Hospital Universitari Vall d’Hebron? Aquí trobaràs tota la informació.
L’aposta per la innovació ens permet estar a l'avantguarda de la medicina, proporcionant una assistència de primer nivell i adaptada a les necessitats canviants de cada pacient.
Es tracta d'una punció i aspiració de la medul·la òssia mitjançant una agulla fina i sota anestèsia local. A través de l'agulla s'aspira material de la medul·la òssia (en el cas de l'aspirat) o s'obté una petita mostra en forma de cilindre de l'os esponjós amb medul·la a l’interior (en el cas de la biòpsia).
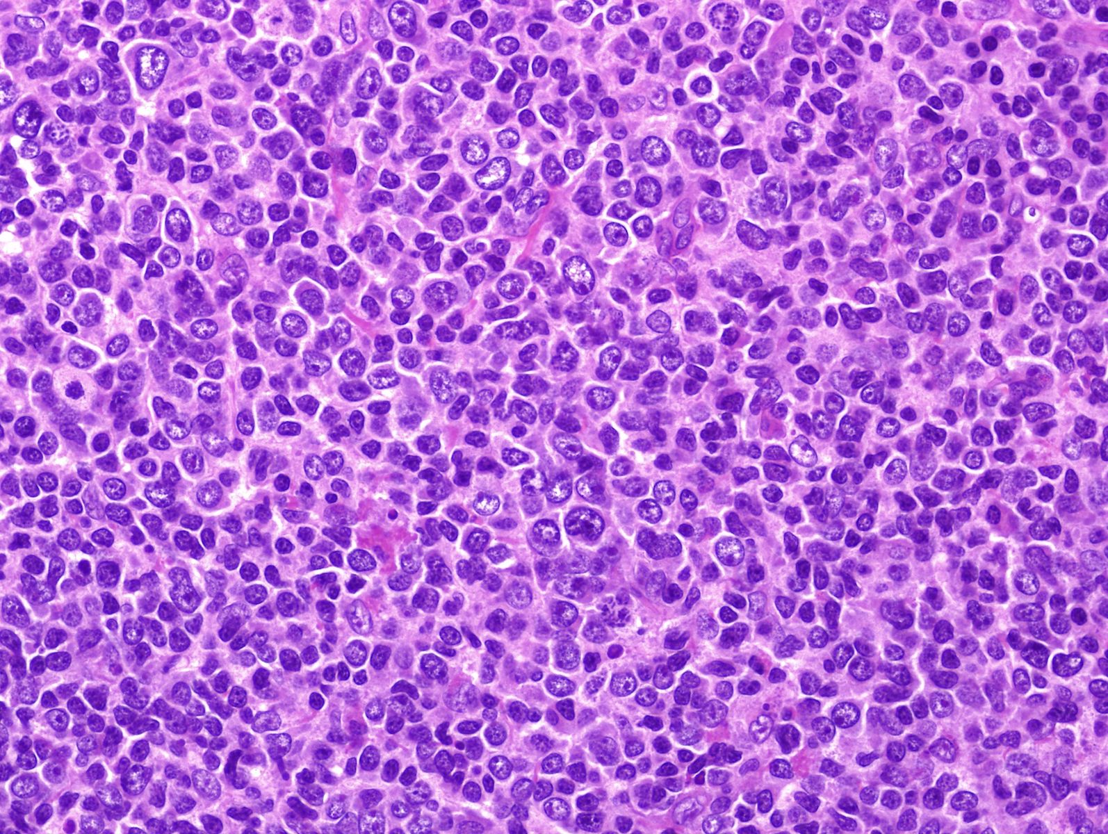
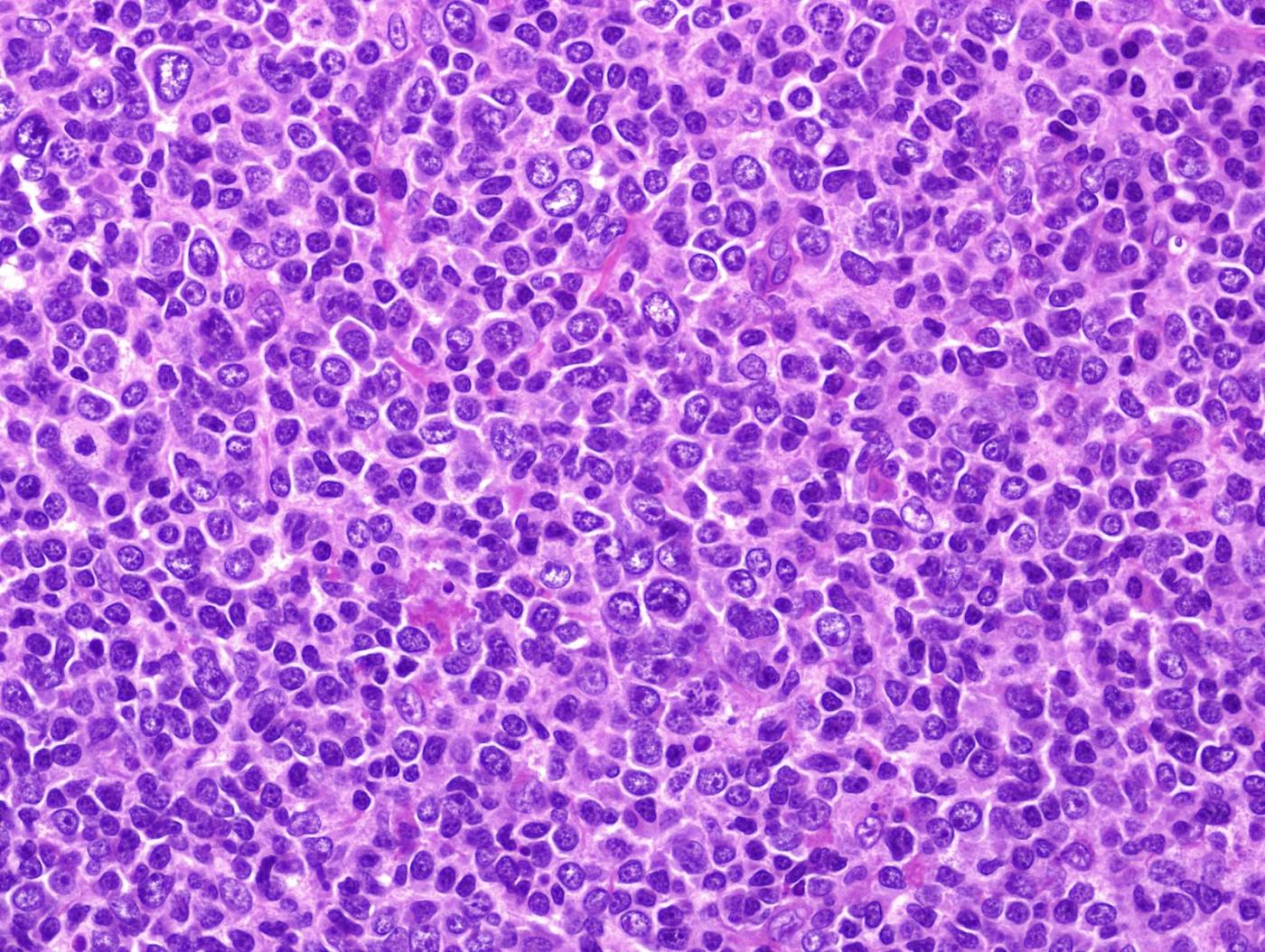
Aquesta tècnica ens serveix per estudiar la medul·la òssia. És imprescindible per al diagnòstic i seguiment de moltes malalties hematològiques, així com el cribratge d'altres afeccions. L'estudi de la medul·la òssia ens permet diagnosticar malalties de la medul·la o les cèl·lules de la sang, com leucèmia, limfoma, mieloma, síndrome mielodisplàstica, així com malalties no hematològiques que poden afectar la medul·la, com tumors d'altres orígens, malalties de dipòsit, etc. Després d’haver tractat aquestes malalties, l'estudi de medul·la també ajuda a avaluar-ne l'eficàcia.
S'esterilitza la zona amb iode i després s'aplica un anestèsic local. Posteriorment, es fa una punció mitjançant una agulla fina i s'aspira la medul·la òssia (material de l'interior dels ossos). És una tècnica senzilla que s’acostuma a practicar sobre l'os del maluc (cresta ilíaca) o l'estèrnum. El material aspirat se sotmet a diferents procediments amb finalitat diagnòstica com són la realització de frotis per valorar-ne la morfologia cel·lular, cultius microbiològics, tècniques immunofenotípiques, estudis citogenètics i moleculars.
L'aspirat i la biòpsia són tècniques senzilles que es duen a terme de manera ambulatòria (és a dir, no requereixen hospitalització) i sota anestèsia local i/o sedació. La durada total del procediment és d’aproximadament 30 minuts, i en acabar el pacient se’n pot anar a casa i només necessitarà analgèsia menor oral en cas de molèsties locals. A la zona de punció pot produir-se un petit hematoma, encara que no és habitual.
L’acceptació d’aquestes condicions, suposa que doneu el consentiment al tractament de les vostres dades personals per a la prestació dels serveis que sol·liciteu a través d’aquest portal i, si escau, per fer les gestions necessàries amb les administracions o entitats públiques que intervinguin en la tramitació. Podeu exercir els drets esmentats adreçant-vos per escrit a web@vallhebron.cat, indicant clarament a l’assumpte “Exercici de dret LOPD”. Responsable: Hospital Universitari Vall d’Hebron (Institut Català de la Salut). Finalitat: Subscripció al butlletí del Vall d’Hebron Barcelona Hospital Campus on rebrà notícies, activitat i informació d’interès. Legitimació: Consentiment de l’interessat. Cessió: Si escau, VHIR. No es preveu cap altra cessió. No es preveu transferència internacional de dades personals. Drets: Accés, rectificació, supressió i portabilitat de les dades, limitació i oposició al seu tractament. L’usuari pot revocar el seu consentiment en qualsevol moment. Procedència: El propi interessat. Informació Addicional: La informació addicional es troba a https://hospital.vallhebron.com/politica-de-proteccio-de-dades