Som la suma de quatre hospitals: el General, l'Infantil, el de la Dona i el de Traumatologia, Rehabilitació i Cremats. Ens trobem dins el Vall d’Hebron Barcelona Hospital Campus, un parc sanitari de referència internacional on l’assistència és una branca imprescindible.
El pacient és el centre i l'eix del nostre sistema. Som professionals compromesos amb una assistència de qualitat i la nostra estructura organitzativa trenca les fronteres tradicionals entre els serveis i els col·lectius professionals, amb un model exclusiu d'àrees de coneixement.
Vols saber com serà la teva estada a l’Hospital Universitari Vall d’Hebron? Aquí trobaràs tota la informació.
L’aposta per la innovació ens permet estar a l'avantguarda de la medicina, proporcionant una assistència de primer nivell i adaptada a les necessitats canviants de cada pacient.
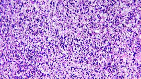
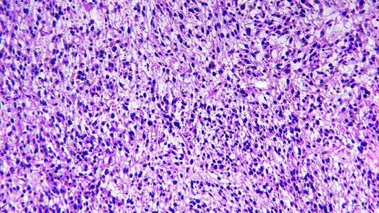
És un càncer que es desenvolupa en les cèl·lules musculars i de teixits tous. Així doncs, pot presentar-se en qualsevol part del cos, encara que els llocs més comuns són el cap i el coll, incloses les òrbites. Malgrat que és un càncer poc freqüent, com tots els tumors en infants, és el càncer dels teixits tous més habitual en l’edat pediàtrica. Aquesta patologia és més comuna en nens que en nenes.
Tot i que principalment es presenta al cap i el coll, també pot aparèixer en l’aparell genitourinari com la bufeta i la pròstata en nens o la vagina i l’úter en nenes. Altres llocs on es pot originar són les extremitats (cames i braços) i, en menys freqüència, a l’abdomen, l’àrea genital i l’anal. Els símptomes varien segons la ubicació del tumor.
Més de la meitat de tots els sarcomes de teixits tous detectats en infants són rabdomiosarcomes. La majoria de menors diagnosticats tenen menys de nou anys, però és un tipus de càncer que pot sorgir en qualsevol edat.
Depèn d’on estiguin localitzats es produeixen símptomes diferents.
Les neoplàsies malignes són malalties poc freqüents, però són una de les principals causes de morbimortalitat en aquest grup d’edat. A l’Estat espanyol es diagnostiquen anualment mil pacients de càncer menors de 14 anys. El rabdomiosarcoma representa el 6 % de càncers d'infants, és a dir, 60 nous casos cada any a l’Estat.
El metge de l’infant li farà un examen molt acurat i per fer-ne la diagnosi demanarà diverses proves que poden incloure:
Aquests exàmens ajudaran a determinar la mida i la localització del tumor, així com si s’ha propagat a alguna part del cos.
El rabdomiosarcoma és un tumor altament maligne i, per això, ha de ser tractat amb una teràpia combinada que inclou cirurgia, quimioteràpia i radioteràpia.
Cada un d’aquests tractaments s’administra en funció de l’estat del tumor i l’edat de l’infant.
De moment, es desconeixen les mesures que poden ajudar a prevenir aquest tumor.
L’acceptació d’aquestes condicions, suposa que doneu el consentiment al tractament de les vostres dades personals per a la prestació dels serveis que sol·liciteu a través d’aquest portal i, si escau, per fer les gestions necessàries amb les administracions o entitats públiques que intervinguin en la tramitació. Podeu exercir els drets esmentats adreçant-vos per escrit a web@vallhebron.cat, indicant clarament a l’assumpte “Exercici de dret LOPD”. Responsable: Hospital Universitari Vall d’Hebron (Institut Català de la Salut). Finalitat: Subscripció al butlletí del Vall d’Hebron Barcelona Hospital Campus on rebrà notícies, activitat i informació d’interès. Legitimació: Consentiment de l’interessat. Cessió: Si escau, VHIR. No es preveu cap altra cessió. No es preveu transferència internacional de dades personals. Drets: Accés, rectificació, supressió i portabilitat de les dades, limitació i oposició al seu tractament. L’usuari pot revocar el seu consentiment en qualsevol moment. Procedència: El propi interessat. Informació Addicional: La informació addicional es troba a https://hospital.vallhebron.com/politica-de-proteccio-de-dades