Som la suma de quatre hospitals: el General, l'Infantil, el de la Dona i el de Traumatologia, Rehabilitació i Cremats. Ens trobem dins el Vall d’Hebron Barcelona Hospital Campus, un parc sanitari de referència internacional on l’assistència és una branca imprescindible.
El pacient és el centre i l'eix del nostre sistema. Som professionals compromesos amb una assistència de qualitat i la nostra estructura organitzativa trenca les fronteres tradicionals entre els serveis i els col·lectius professionals, amb un model exclusiu d'àrees de coneixement.
Vols saber com serà la teva estada a l’Hospital Universitari Vall d’Hebron? Aquí trobaràs tota la informació.
L’aposta per la innovació ens permet estar a l'avantguarda de la medicina, proporcionant una assistència de primer nivell i adaptada a les necessitats canviants de cada pacient.
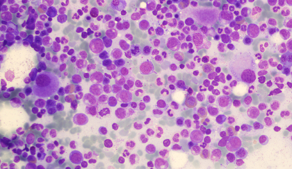
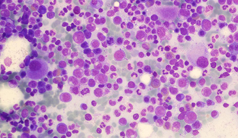
Són un grup heterogeni de neoplàsies de les cèl·lules mare de la sang que es caracteritzen per una hematopoesi (procés de fabricació dels elements de la sang) alterada que es tradueix en una medul·la òssia normo o hipercel·lular, però que degut a una elevada mort intramedul·lar, les cèl·lules sanguínies a la perifèria són escasses (citopènies) i morfològicament anòmales (displàsia).
Els pacients amb SMD presenten un curs clínic variable i un risc incrementat d'evolució a leucèmia aguda depenent del subtipus de SMD.
Poden aparèixer de novo o ser secundaris a tractaments citotòxics o a la radioteràpia.
És freqüent que els pacients amb SMD no presentin cap símptoma i que el diagnòstic es realitzi a conseqüència d'un control analític. No obstant això, quan apareixen símptomes, el més freqüent és que aquests siguin secundaris a les citopènies. El més habitual és astènia, pal·lidesa, palpitacions o sensació de falta d'aire amb l'esforç causa de la disminució de l'hemoglobina (anèmia). De vegades, poden presentar infeccions a conseqüència de falta de glòbuls blancs (neutropènia) o sagnat per xifra baixa de plaquetes (plaquetopènia). Aquests símptomes no són específics de la malaltia, de manera que davant la presència dels mateixos de manera persistent ha de consultar al metge d'atenció primària.
Els SMD no són malalties freqüents. Es detecten cada any 3 a 4 casos nous per cada 100.000 habitants. És més freqüent en pacients a partir dels 65 anys (75 casos / 100000 hab.) I són dues vegades més freqüents en homes que en dones.
El procés diagnòstic s'inicia amb una analítica en la qual s'observarà citopènies. Un cop es descarten altres causes que puguin justificar aquestes citopènies, es realitzarà un estudi medul·lar mitjançant un aspirat de moll de l'os (òrgan responsable de la fabricació dels elements de la sang).
L'aspirat medul·lar consisteix en una punció en l'os esternal o en un dels ossos de la pelvis, fet amb agulla fina amb anestèsia local. S'extreuen uns 4-10 ml de sang medul·lar mitjançant aspiració. En comptades ocasions és necessària l'extracció d'un cilindre ossi mitjançant punció-biòpsia amb una agulla gruixuda (trucut) De vegades, cal repetir la prova passat un temps per confirmar el diagnòstic.
El tractament dependrà de les característiques biològiques de la malaltia i de l'estat general del pacient.
Es basa en:
1. Tractament de suport mitjançant transfusions sanguínies.
2. Tractament mitjançant fàrmacs que intenten restaurar el correcte funcionament de la medul·la òssia.
3. Trasplantament de medul·la òssia. Consisteix a substituir la medul·la òssia malalta per la d'una persona sana compatible immunològicament. Aquesta opció és molt agressiva el que fa que només es pugui oferir a un determinat grup de pacients joves, amb bon estat físic i afectes d'un grup concret de SMD.
4. Assaigs clínics. Es tracta d'estudis que utilitzen fàrmacs nous però amb eficàcia comprovada en aquest grup de malalties
L’acceptació d’aquestes condicions, suposa que doneu el consentiment al tractament de les vostres dades personals per a la prestació dels serveis que sol·liciteu a través d’aquest portal i, si escau, per fer les gestions necessàries amb les administracions o entitats públiques que intervinguin en la tramitació. Podeu exercir els drets esmentats adreçant-vos per escrit a web@vallhebron.cat, indicant clarament a l’assumpte “Exercici de dret LOPD”. Responsable: Hospital Universitari Vall d’Hebron (Institut Català de la Salut). Finalitat: Subscripció al butlletí del Vall d’Hebron Barcelona Hospital Campus on rebrà notícies, activitat i informació d’interès. Legitimació: Consentiment de l’interessat. Cessió: Si escau, VHIR. No es preveu cap altra cessió. No es preveu transferència internacional de dades personals. Drets: Accés, rectificació, supressió i portabilitat de les dades, limitació i oposició al seu tractament. L’usuari pot revocar el seu consentiment en qualsevol moment. Procedència: El propi interessat. Informació Addicional: La informació addicional es troba a https://hospital.vallhebron.com/politica-de-proteccio-de-dades