Som la suma de quatre hospitals: el General, l'Infantil, el de la Dona i el de Traumatologia, Rehabilitació i Cremats. Ens trobem dins el Vall d’Hebron Barcelona Hospital Campus, un parc sanitari de referència internacional on l’assistència és una branca imprescindible.
El pacient és el centre i l'eix del nostre sistema. Som professionals compromesos amb una assistència de qualitat i la nostra estructura organitzativa trenca les fronteres tradicionals entre els serveis i els col·lectius professionals, amb un model exclusiu d'àrees de coneixement.
Vols saber com serà la teva estada a l’Hospital Universitari Vall d’Hebron? Aquí trobaràs tota la informació.
L’aposta per la innovació ens permet estar a l'avantguarda de la medicina, proporcionant una assistència de primer nivell i adaptada a les necessitats canviants de cada pacient.
Els sarcomes són una classe poc freqüent de càncer que suposa únicament l’1-2% de tots els tumors en l’adult. És també una entitat complexa, ja que n’hi ha més de 70 tipus diferents, amb diferències pel que fa al diagnòstic, pronòstic i tractament. Per això, és necessari que els pacients amb sarcomes siguin valorats en comitès multidisciplinaris amb experiència àmplia en aquesta patologia.
Els sarcomes són un conjunt de tumors rars que provenen de les parts toves del cos, o també de l’os.
Les parts toves inclouen teixits com els músculs, els nervis, els vasos o el greix. Aquests teixits també poden estar formant part dels òrgans.
La baixa freqüència dels sarcomes comporta una individualització necessària del maneig clínic i del tractament d’aquests pacients, cosa que generalment involucra decisions compartides entre diversos professionals experts en aquesta patologia i els mateixos pacients.
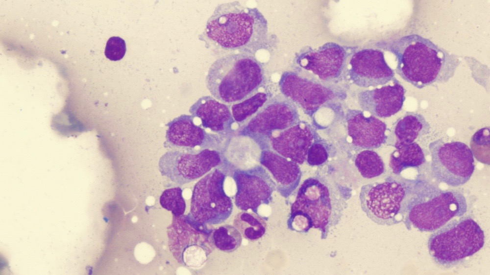
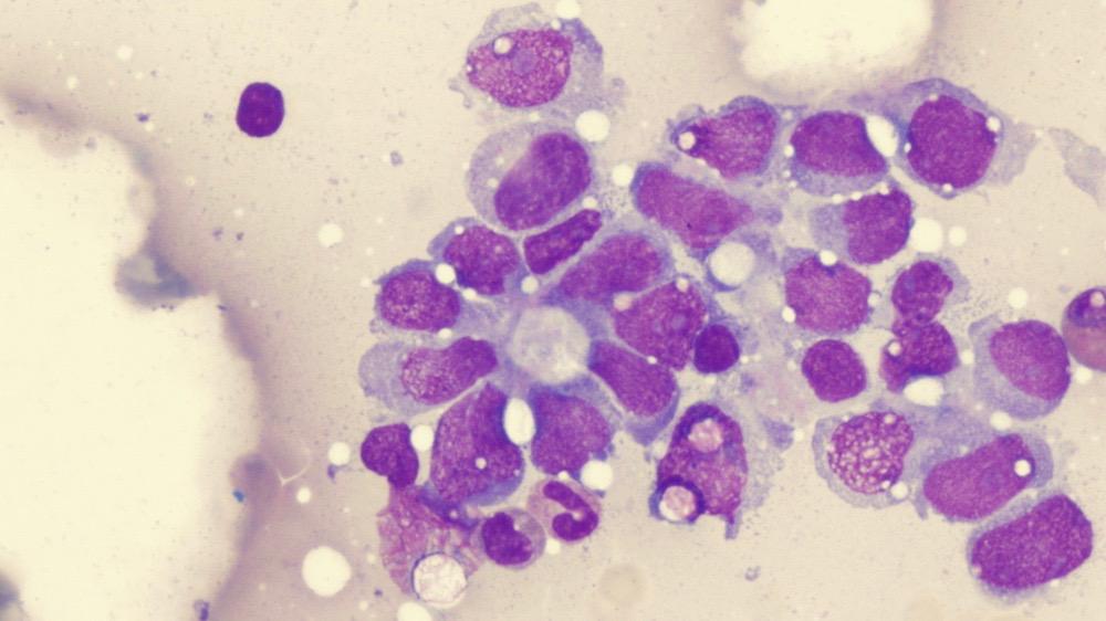
El diagnòstic correcte d’un sarcoma i del tipus concret de sarcoma és el primer pas crític per fer, ja que d’això dependrà el maneig clínic del pacient i una informació precisa sobre la naturalesa de la seva malaltia.
A diferència de molts càncers, els sarcomes no acostumen a donar símptomes en les etapes primerenques del creixement. Això és degut al fet que es desenvolupen en àrees del cos en les quals poden créixer empenyent estructures i òrgans de manera progressiva.
El primer símptoma pot ser un bony indolor. La major part dels bonys són benignes, però si creix ràpidament, fa mal, és profund o mesura més de 5 centímetres, és més possible que es pugui tractar d’un sarcoma. Altres vegades els símptomes poden derivar d’una compressió excessiva de diferents teixits i òrgans del cos.
No hi ha un desencadenant clar d’un sarcoma. Determinades síndromes genètiques hereditàries poden predisposar una persona a tenir més possibilitats de desenvolupar alguna mena de sarcoma, com la síndrome de Li-Fraumeni, la neurofibromatosi o la poliposi de còlon familiar.
Un dels passos més importants és confirmar la sospita clínica de sarcoma i determinar de quin tipus específic de sarcoma es tracta. Per fer-ho cal obtenir un fragment de tumor a través d’una biòpsia i estudiar-lo a Anatomia Patològica.
De vegades es diagnostica mitjançant l’ús de tècniques moleculars i es complementa amb proves radiològiques com radiografies, tomografia axial computada (TC), ressonància magnètica nuclear (RMN) o TC-PET.
El tractament de tots els pacients amb sarcoma és sempre consensuat en comitès multidisciplinaris, on es reuneixen experts en sarcomes de diversos serveis del nostre centre: Oncologia Mèdica, Oncologia Radioteràpica, Traumatologia, Cirurgia General, Radiologia i Anatomia Patològica.
Atès que els sarcomes poden emergir de qualsevol part del cos, també hi participen altres especialistes ocasionalment.
El tractament dels pacients amb sarcoma pot incloure:
El procediment més adequat depèn de diverses classes de factors, a més del tipus concret de sarcoma. Les teràpies dirigides i la immunoteràpia tenen un paper molt rellevant en certs tipus de sarcoma. Finalment, també hi ha assajos clínics que experimenten amb noves teràpies.
El més habitual són proves radiològiques com les descrites anteriorment (radiografies, TC, RMN o PET-TC).
Com que no hi ha una causa concreta que origini els sarcomes, en la major part dels casos no s’han establert mesures concretes per prendre, només les usuals sobre hàbits de vida saludables recomanades per l’Organització Mundial de la Salut.
Els pacients amb síndromes genètiques hereditàries sí que reben la recomanació de fer un seguiment en unitats especialitzades.
L’acceptació d’aquestes condicions, suposa que doneu el consentiment al tractament de les vostres dades personals per a la prestació dels serveis que sol·liciteu a través d’aquest portal i, si escau, per fer les gestions necessàries amb les administracions o entitats públiques que intervinguin en la tramitació. Podeu exercir els drets esmentats adreçant-vos per escrit a web@vallhebron.cat, indicant clarament a l’assumpte “Exercici de dret LOPD”. Responsable: Hospital Universitari Vall d’Hebron (Institut Català de la Salut). Finalitat: Subscripció al butlletí del Vall d’Hebron Barcelona Hospital Campus on rebrà notícies, activitat i informació d’interès. Legitimació: Consentiment de l’interessat. Cessió: Si escau, VHIR. No es preveu cap altra cessió. No es preveu transferència internacional de dades personals. Drets: Accés, rectificació, supressió i portabilitat de les dades, limitació i oposició al seu tractament. L’usuari pot revocar el seu consentiment en qualsevol moment. Procedència: El propi interessat. Informació Addicional: La informació addicional es troba a https://hospital.vallhebron.com/politica-de-proteccio-de-dades