Som la suma de quatre hospitals: el General, l'Infantil, el de la Dona i el de Traumatologia, Rehabilitació i Cremats. Ens trobem dins el Vall d’Hebron Barcelona Hospital Campus, un parc sanitari de referència internacional on l’assistència és una branca imprescindible.
El pacient és el centre i l'eix del nostre sistema. Som professionals compromesos amb una assistència de qualitat i la nostra estructura organitzativa trenca les fronteres tradicionals entre els serveis i els col·lectius professionals, amb un model exclusiu d'àrees de coneixement.
Vols saber com serà la teva estada a l’Hospital Universitari Vall d’Hebron? Aquí trobaràs tota la informació.
L’aposta per la innovació ens permet estar a l'avantguarda de la medicina, proporcionant una assistència de primer nivell i adaptada a les necessitats canviants de cada pacient.
És una malaltia hematològica crònica infreqüent, un tipus de càncer d’evolució molt lenta. Es caracteritza principalment per l'augment de producció de glòbuls vermells, associada a un risc trombòtic més elevat tant en venes com en artèries. Té símptomes inespecífics com l'augment de la rubicundesa facial i la picor corporal. Tot i que de moment no es pot curar, es controla eficaçment.
Està inclosa en el grup de malalties mieloproliferatives cròniques. Se’n desconeix la causa, encara que se sap que hi ha mutacions que hi estan associades en el gen JAK2 i que es presenten en un 98% dels casos. No s'hereta, però en algunes famílies hi pot haver diversos afectats.
Es caracteritza per l'augment de producció de glòbuls vermells (també poden augmentar els glòbuls blancs i les plaquetes) i està associada amb un risc més alt de trombosi arterial o venosa.
És una malaltia crònica, que per ara no es cura, però que es controla eficaçment durant llargs períodes de temps i, en general, no dificulta les activitats diàries ni la feina. Són pacients que tenen més risc que la població general de desenvolupar altres malalties hematològiques, com leucèmia aguda o mielofibrosi.
Inicialment pot ser asimptomàtica. És característic el rubor facial. Els pacients solen presentar cansament, mal de cap, marejos i picor (especialment després de la dutxa). També poden tenir dolor abdominal per l’augment de la mida de la melsa.
Afecta principalment pacients de prop de 60 anys i és una mica més freqüent en homes que en dones.
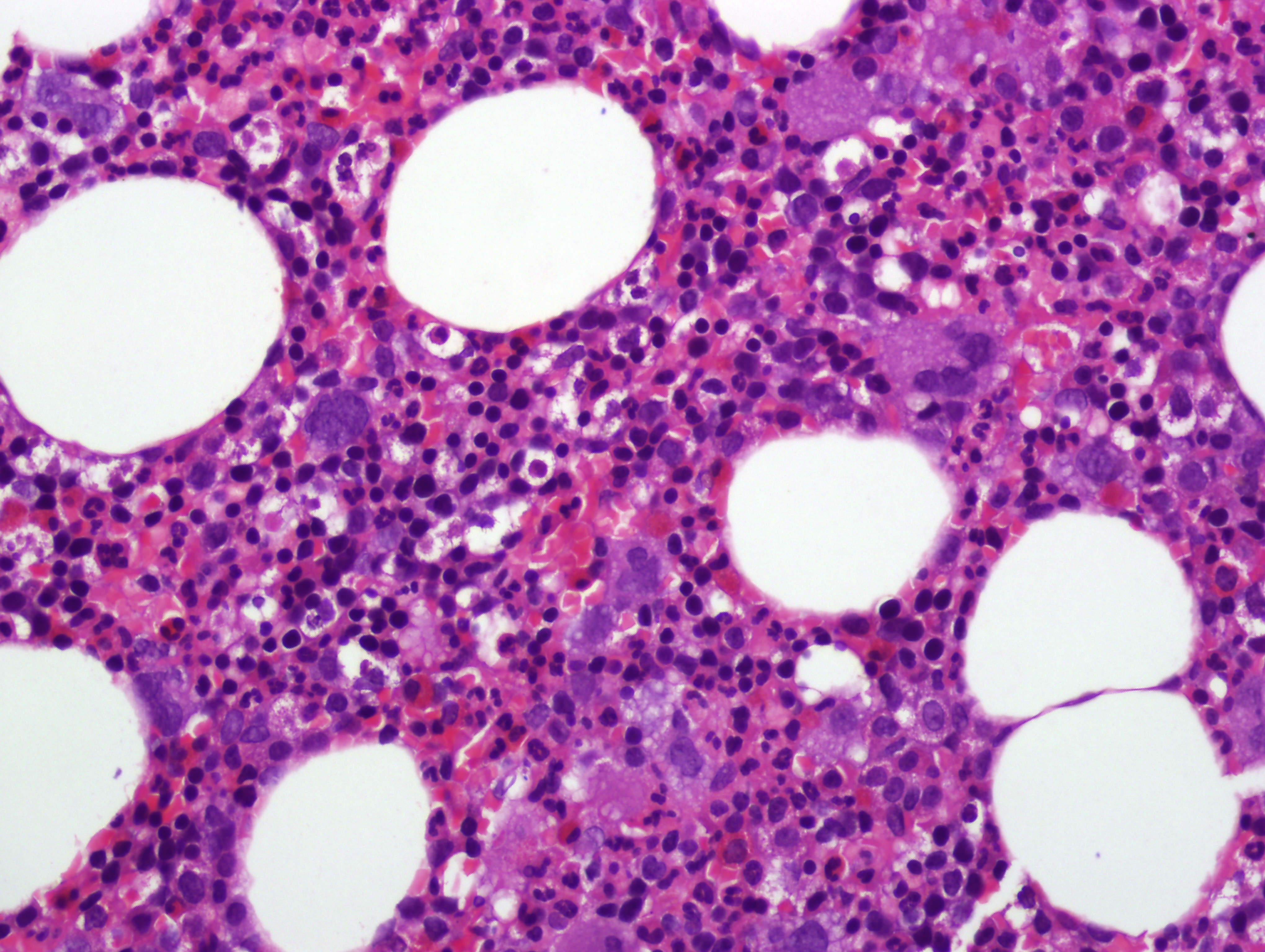
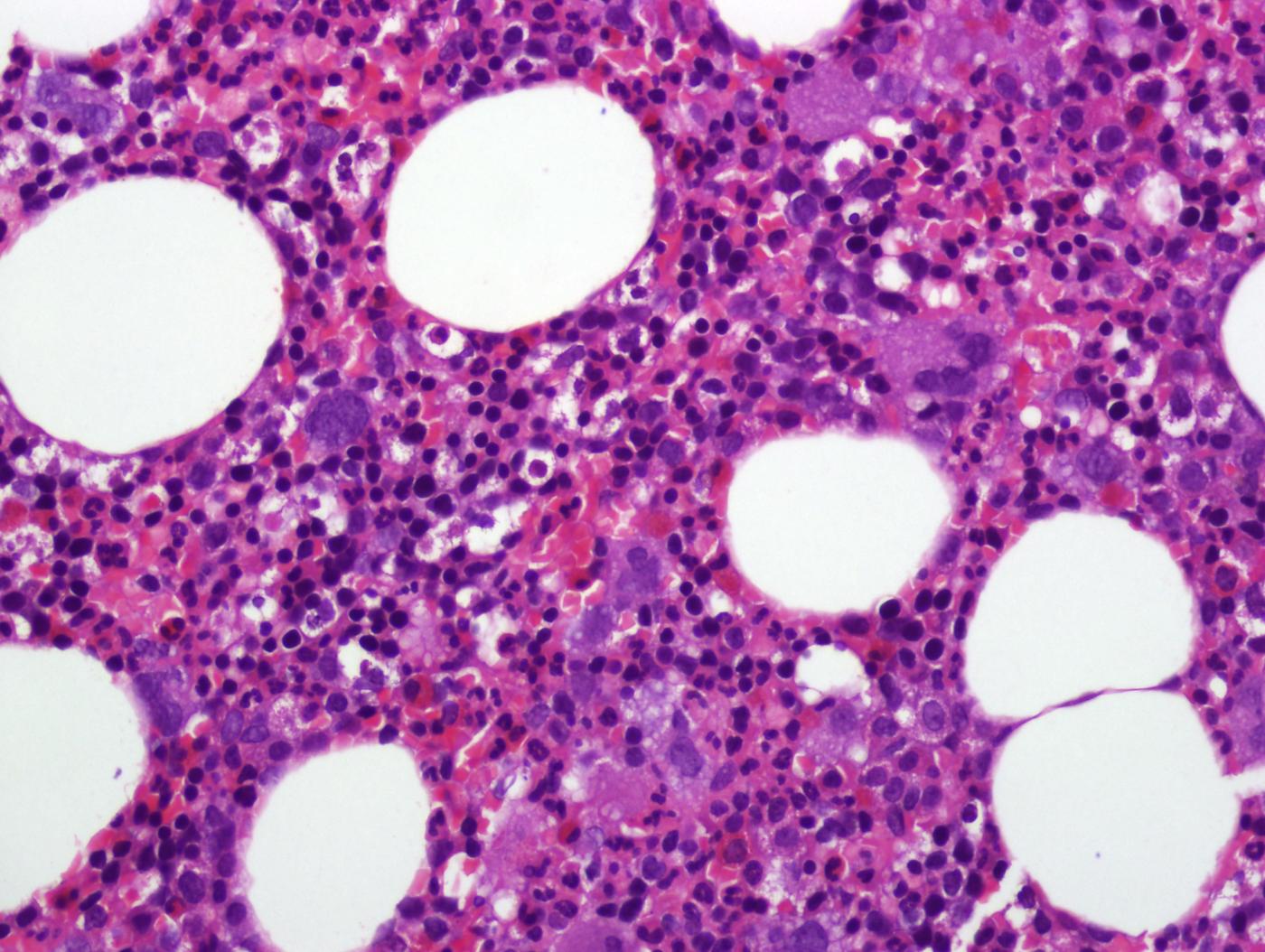
Es fa principalment mitjançant una analítica en què s'evidencien valors alts d'hemoglobina i hematòcrit, també poden augmentar les plaquetes i els glòbuls blancs. A més, també es du a terme un estudi molecular (mutació del gen JAK2) mitjançant analítica. De vegades poden ser necessaris altres estudis per completar el diagnòstic, com per exemple una biòpsia de medul·la òssia.
El tractament té per objectiu prevenir complicacions i controlar els símptomes. Es basa a disminuir l'excés de glòbuls vermells mitjançant flebotomies (extraccions de sang que es fan al banc de sang). Tret d'alguna contraindicació, els pacients requereixen antiagregació (àcid acetilsalicílic). També poden estar indicats altres fàrmacs que disminueixen els glòbuls vermells.
Es controla habitualment amb analítiques
El més important és prevenir les complicacions trombòtiques associades a aquesta malaltia, mitjançant el control de factors de risc cardiovascular (hipertensió, dislipèmia, no fumar, obesitat, sedentarisme) i complir el tractament recomanat per l’hematòleg.
L’acceptació d’aquestes condicions, suposa que doneu el consentiment al tractament de les vostres dades personals per a la prestació dels serveis que sol·liciteu a través d’aquest portal i, si escau, per fer les gestions necessàries amb les administracions o entitats públiques que intervinguin en la tramitació. Podeu exercir els drets esmentats adreçant-vos per escrit a web@vallhebron.cat, indicant clarament a l’assumpte “Exercici de dret LOPD”. Responsable: Hospital Universitari Vall d’Hebron (Institut Català de la Salut). Finalitat: Subscripció al butlletí del Vall d’Hebron Barcelona Hospital Campus on rebrà notícies, activitat i informació d’interès. Legitimació: Consentiment de l’interessat. Cessió: Si escau, VHIR. No es preveu cap altra cessió. No es preveu transferència internacional de dades personals. Drets: Accés, rectificació, supressió i portabilitat de les dades, limitació i oposició al seu tractament. L’usuari pot revocar el seu consentiment en qualsevol moment. Procedència: El propi interessat. Informació Addicional: La informació addicional es troba a https://hospital.vallhebron.com/politica-de-proteccio-de-dades