Som la suma de quatre hospitals: el General, l'Infantil, el de la Dona i el de Traumatologia, Rehabilitació i Cremats. Ens trobem dins el Vall d’Hebron Barcelona Hospital Campus, un parc sanitari de referència internacional on l’assistència és una branca imprescindible.
El pacient és el centre i l'eix del nostre sistema. Som professionals compromesos amb una assistència de qualitat i la nostra estructura organitzativa trenca les fronteres tradicionals entre els serveis i els col·lectius professionals, amb un model exclusiu d'àrees de coneixement.
Vols saber com serà la teva estada a l’Hospital Universitari Vall d’Hebron? Aquí trobaràs tota la informació.
L’aposta per la innovació ens permet estar a l'avantguarda de la medicina, proporcionant una assistència de primer nivell i adaptada a les necessitats canviants de cada pacient.
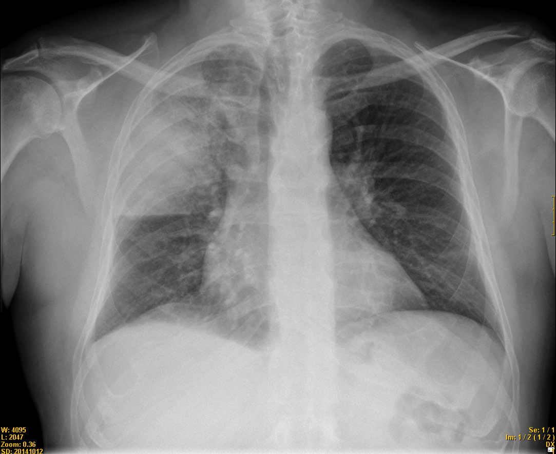
La pneumònia és una infecció del teixit pulmonar.
Segons la seva extensió en l’aparell respiratori distingim diferents tipus de pneumònia:
Pot ser produïda per molts microorganismes diferents encara que els més freqüents són S. pneumoniae (pneumococ) i Mycoplasma.
Altres microorganismes que també poden causar pneumònia són Hemophilus, Klebsiella, Staphylococcus aureus, Legionella pneumophila, Chlamydia pneumoniae i alguns virus.
Es caracteritzen per febre alta, tos, amb expectoració o sense, i molts cops provoca dolor al tòrax, que pot augmentar amb els moviments respiratoris. De vegades l’expectoració té aspecte marronós o rovellat, situació que orienta cap a una pneumònia d’origen pneumocòccic.
La denominada pneumònia atípica, causada per Mycoplasma o Chlamydia entre d’altres, sovint es caracteritza per presentar febre amb poca simptomatologia respiratòria.
La pneumònia és una malaltia molt freqüent (350.000 casos/any a Espanya) i és una causa significativa de mortalitat en la població general. Pot afectar tots els grups d’edat.
En la persona prèviament sana constitueix una malaltia de gravetat lleu o moderada, susceptible fins i tot de tractament domiciliari o ambulatori, però en pacients amb patologia prèvia (immunodeprimits, insuficiència cardíaca, insuficiència respiratòria prèvia, etc.) és generalment greu. L’ús apropiat d’antibiòtics, juntament algunes vegades amb mesures de suport respiratori (oxigenoteràpia o fins i tot intubació), contribueixen significativament a millorar les possibilitats de curació en els casos més greus.
Es fa partint de la història clínica del pacient (edat, patologia prèvia, temps d’evolució i tipus dels símptomes), auscultació, radiografia de tòrax i pràctica de cultius de sang i esput per identificar l’organisme causant.
També poden detectar-se antígens a l’orina per a pneumococ i Legionella.
El tractament és antibiòtic, basat en una estimació clínica de la possibilitat de tractar-se d’un o d’un altre germen (moltes vegades s’inicia immediatament el tractament sense conèixer l’organisme causant), per posteriorment mantenir-lo o modificar-lo d’acord amb els cultius i l’evolució del pacient.
El criteri de fer un tractament hospitalari o ambulatori depèn de l’estimació de les circumstàncies de risc que es puguin presentar (edat avançada, patologia prèvia, afectació de la funció respiratòria).
En un pacient prèviament sa el tractament pot ser ambulatori.
Radiografia de tòrax, cultius de sang i d’esput o secrecions respiratòries i determinació d’antígens a l’orina.
L’acceptació d’aquestes condicions, suposa que doneu el consentiment al tractament de les vostres dades personals per a la prestació dels serveis que sol·liciteu a través d’aquest portal i, si escau, per fer les gestions necessàries amb les administracions o entitats públiques que intervinguin en la tramitació. Podeu exercir els drets esmentats adreçant-vos per escrit a web@vallhebron.cat, indicant clarament a l’assumpte “Exercici de dret LOPD”. Responsable: Hospital Universitari Vall d’Hebron (Institut Català de la Salut). Finalitat: Subscripció al butlletí del Vall d’Hebron Barcelona Hospital Campus on rebrà notícies, activitat i informació d’interès. Legitimació: Consentiment de l’interessat. Cessió: Si escau, VHIR. No es preveu cap altra cessió. No es preveu transferència internacional de dades personals. Drets: Accés, rectificació, supressió i portabilitat de les dades, limitació i oposició al seu tractament. L’usuari pot revocar el seu consentiment en qualsevol moment. Procedència: El propi interessat. Informació Addicional: La informació addicional es troba a https://hospital.vallhebron.com/politica-de-proteccio-de-dades