Som la suma de quatre hospitals: el General, l'Infantil, el de la Dona i el de Traumatologia, Rehabilitació i Cremats. Ens trobem dins el Vall d’Hebron Barcelona Hospital Campus, un parc sanitari de referència internacional on l’assistència és una branca imprescindible.
El pacient és el centre i l'eix del nostre sistema. Som professionals compromesos amb una assistència de qualitat i la nostra estructura organitzativa trenca les fronteres tradicionals entre els serveis i els col·lectius professionals, amb un model exclusiu d'àrees de coneixement.
Vols saber com serà la teva estada a l’Hospital Universitari Vall d’Hebron? Aquí trobaràs tota la informació.
L’aposta per la innovació ens permet estar a l'avantguarda de la medicina, proporcionant una assistència de primer nivell i adaptada a les necessitats canviants de cada pacient.
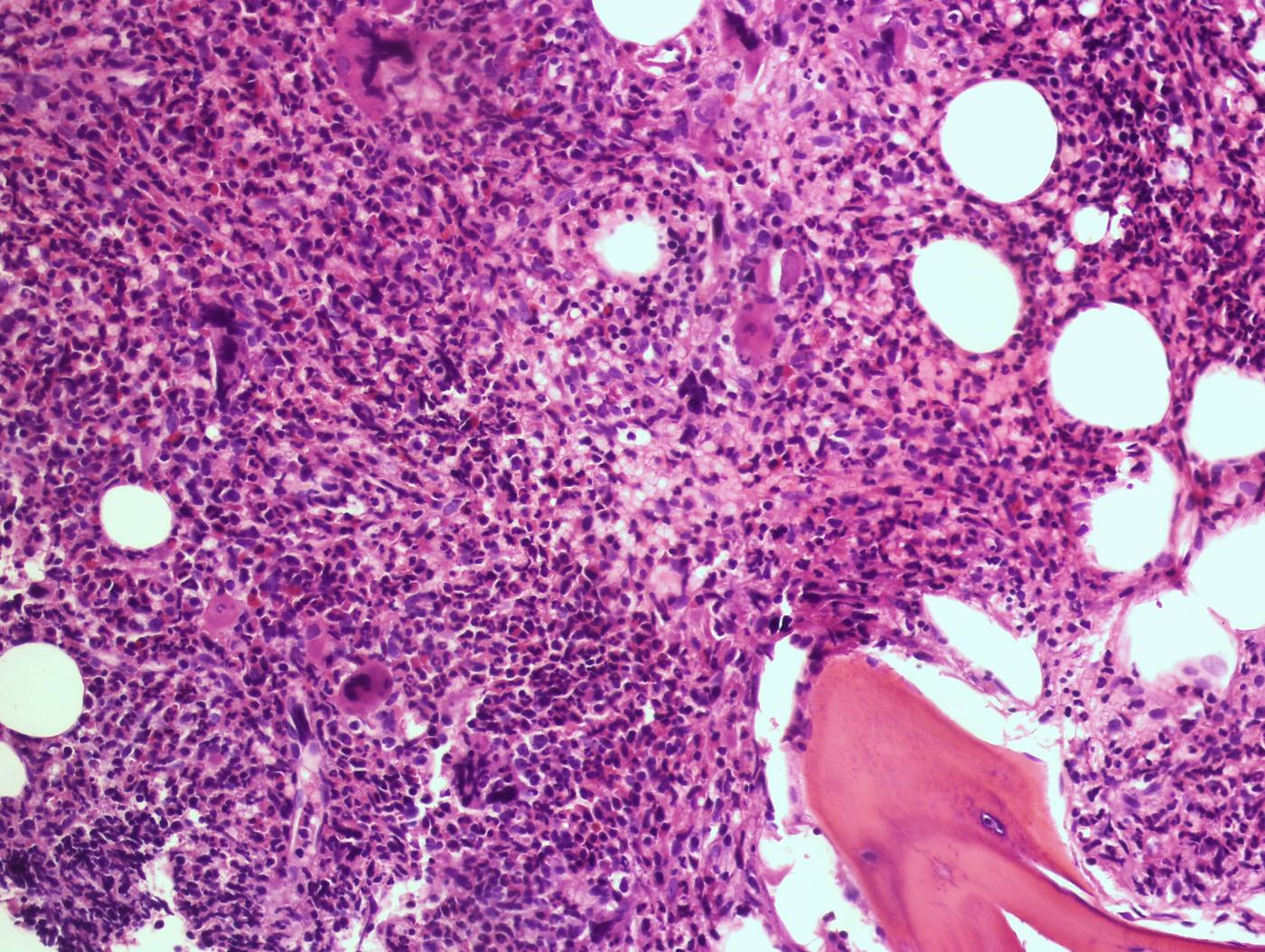
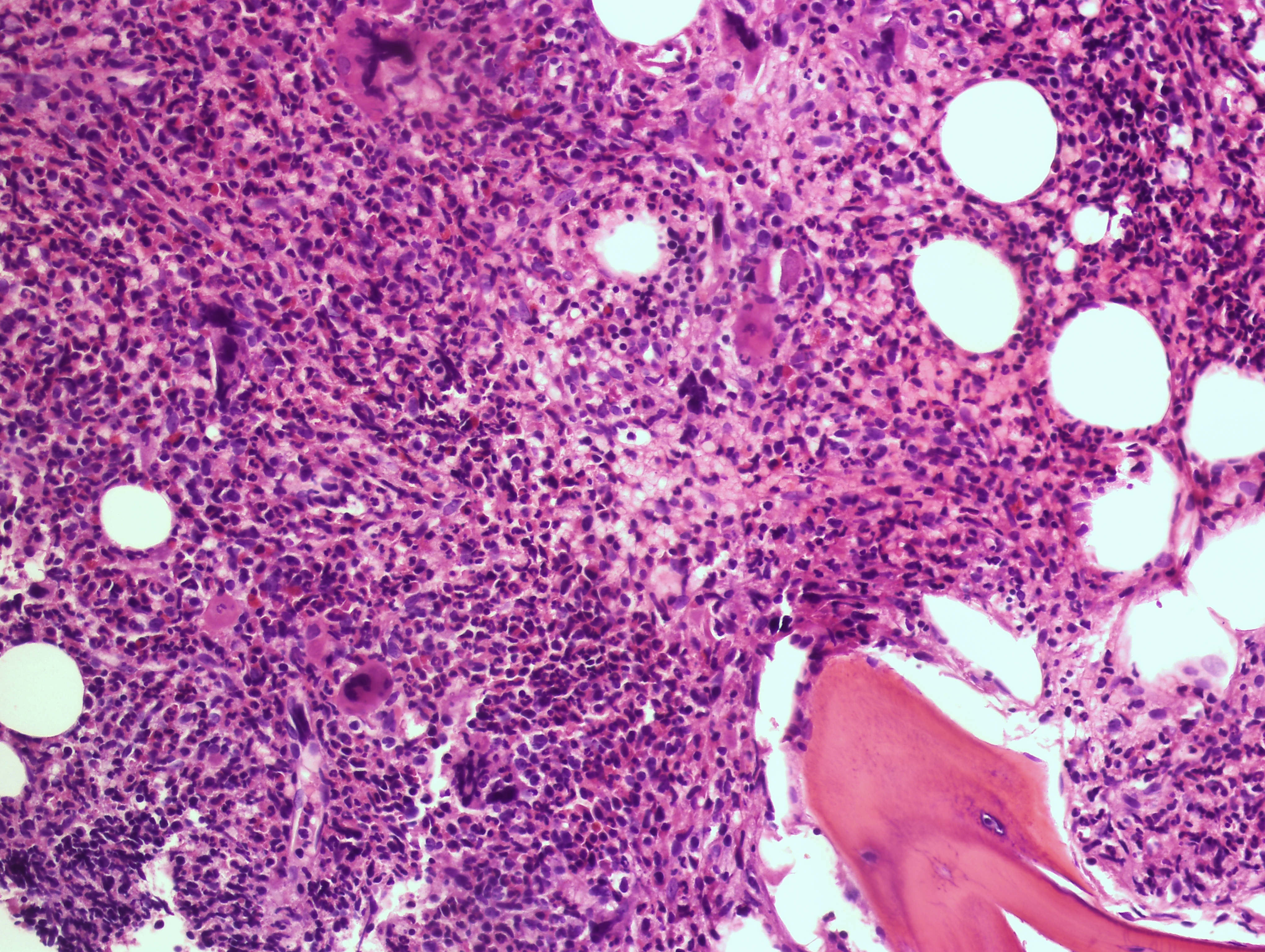
La mielofibrosi està inclosa en el grup de malalties mieloproliferatives cròniques, pot ser d'aparició nova (primària) o posterior a la policitèmia vera o la trombocitèmia essencial.
Es caracteritza per fibrosi de la medul·la òssia, defecte progressiu de la producció de les cèl·lules de la sang i una marcada presència de símptomes constitucionals, a més de l'augment de la mida de la melsa i del fetge que proven de compensar la producció de glòbuls vermells.
Aproximadament 1/3 dels pacients no tenen símptomes, i el diagnòstic es fa a partir de l'estudi d'alteracions en analítiques de control.
Els símptomes apareixen de manera gradual i els més comuns són cansament marcat, sudoració nocturna, febrícula, pèrdua de massa muscular, pèrdua de la gana i dolor abdominal. Aquests símptomes no són exclusius d'aquesta malaltia, per això quan es presenten, cal consultar amb el metge de capçalera el qual, davant de la sospita de diagnòstic de mielofibrosi, remetrà el pacient al servei d'hematologia corresponent.
És una malaltia que pot romandre estable durant molt de temps, o presentar-se amb formes molt simptomàtiques
Es considera una malaltia rara, amb una incidència baixa de 5-7 casos per milió d'habitants i any. Afecta principalment persones entre 60-70 anys.
S'inicia el diagnòstic a partir de l'estudi dels símptomes esmentats, d'alteracions en l'examen físic (com l'augment de la mida de la melsa) o d'alteracions en les analítiques com poden ser anèmia, disminució de glòbuls blancs i de plaquetes, entre d'altres.
Per diagnosticar-la és indispensable fer una biòpsia de medul·la òssia que, juntament amb l'analítica, permetrà determinar els factors de risc de progressió de la malaltia, que guiaran el tractament.
El tractament es determina en funció del risc de progressió de la malaltia, les característiques del pacient i la presència de símptomes.
Per ara, l'únic tractament curatiu és el trasplantament de progenitors hematopoètics que pot oferir-se només a un petit grup de pacients, ja que s’acostuma a presentar en pacients grans, no candidats a aquest tipus de tractament.
Per tant, actualment el principal objectiu del tractament és controlar els símptomes i evitar les complicacions. Per al control dels símptomes relacionats amb l'anèmia s'utilitzen fàrmacs com l'eritropoetina, danazol, entre d'altres, i fins i tot transfusions de sang.
Per controlar els símptomes o l'augment de la mida de la melsa, s'usa hidroxiurea i ruxolitinib, principalment.
Hi ha assaigs clínics que intenten millorar el tractament actual, consulta amb el teu hematòleg quins són els disponibles.
Es controla habitualment amb analítiques.
L’acceptació d’aquestes condicions, suposa que doneu el consentiment al tractament de les vostres dades personals per a la prestació dels serveis que sol·liciteu a través d’aquest portal i, si escau, per fer les gestions necessàries amb les administracions o entitats públiques que intervinguin en la tramitació. Podeu exercir els drets esmentats adreçant-vos per escrit a web@vallhebron.cat, indicant clarament a l’assumpte “Exercici de dret LOPD”. Responsable: Hospital Universitari Vall d’Hebron (Institut Català de la Salut). Finalitat: Subscripció al butlletí del Vall d’Hebron Barcelona Hospital Campus on rebrà notícies, activitat i informació d’interès. Legitimació: Consentiment de l’interessat. Cessió: Si escau, VHIR. No es preveu cap altra cessió. No es preveu transferència internacional de dades personals. Drets: Accés, rectificació, supressió i portabilitat de les dades, limitació i oposició al seu tractament. L’usuari pot revocar el seu consentiment en qualsevol moment. Procedència: El propi interessat. Informació Addicional: La informació addicional es troba a https://hospital.vallhebron.com/politica-de-proteccio-de-dades