Som la suma de quatre hospitals: el General, l'Infantil, el de la Dona i el de Traumatologia, Rehabilitació i Cremats. Ens trobem dins el Vall d’Hebron Barcelona Hospital Campus, un parc sanitari de referència internacional on l’assistència és una branca imprescindible.
El pacient és el centre i l'eix del nostre sistema. Som professionals compromesos amb una assistència de qualitat i la nostra estructura organitzativa trenca les fronteres tradicionals entre els serveis i els col·lectius professionals, amb un model exclusiu d'àrees de coneixement.
Vols saber com serà la teva estada a l’Hospital Universitari Vall d’Hebron? Aquí trobaràs tota la informació.
L’aposta per la innovació ens permet estar a l'avantguarda de la medicina, proporcionant una assistència de primer nivell i adaptada a les necessitats canviants de cada pacient.
Malaltia hematològica que es caracteritza pel creixement dels ganglis amb augment o sense del nombre de glòbuls blancs a la sang, que pot anar acompanyat també de pèrdua de pes, picor, sudoració excessiva o augment de la freqüència d'infeccions.
Els limfomes són un grup molt divers de malalties incloses dins de l'oncologia. La cèl·lula cancerosa d'un limfoma és el limfòcit, la cèl·lula principal del sistema immunològic del pacient, i les seves funcions són la defensa davant d’infeccions i la vigilància tumoral.
Els limfòcits, juntament amb altres cèl·lules, formen la població de glòbuls blancs o leucòcits de la sang. Segons la seva funció en el sistema immunològic, els limfòcits poden ser de tipus B, T i NK. Per aquesta raó els limfomes que en deriven són també de tipus B, T i NK.
L'Organització Mundial de la Salut (OMS) els classifica en 2 grans grups: el Limfoma de Hodgkin i els Limfomes no Hodgkin, i en aquests dos grups s'inclouen actualment més de 60 tipus diferents de limfoma.
Els limfòcits es troben principalment a la sang i als òrgans limfàtics: ganglis, melsa i medul·la òssia, però com que són cèl·lules que circulen per la sang, en realitat poden trobar-se a qualsevol òrgan del cos, ja que la seva funció de defensa és necessària en tot l'organisme. Per aquesta raó, encara que sigui més freqüent als òrgans limfàtics, un limfoma pot aparèixer a qualsevol òrgan del cos: la pell, el tub digestiu, el sistema nerviós central, etc.
Els símptomes depenen de si el tipus de limfoma que té un pacient és agressiu o indolent:
Els limfomes agressius són malalties que avancen ràpidament i sempre provoquen símptomes, perquè els limfòcits tumorals es multipliquen a gran velocitat. Els símptomes són un creixement ràpid de ganglis, melsa i/o masses tumorals, pèrdua de pes, sudoració excessiva, febre i/o picor no justificada. Si un dels ganglis o masses tumorals creix a prop d'algun òrgan, pot comprimir-lo i, en aquest cas, apareixen també símptomes que permeten sospitar-ho. Aquest tipus de limfomes agressius sempre necessiten tractament de manera preferent quan es diagnostiquen.
Al contrari, els limfomes indolents són aquells en què l'augment de mida dels ganglis, melsa o masses tumorals és molt lent. La majoria d'aquests pacients no tenen símptomes de la malaltia i es poden vigilar sense que calgui fer cap tractament. Només en cas que, en algun moment, es comencés a observar creixement dels ganglis i/o aparició de símptomes, llavors sí que seria necessari tractar el pacient, per això la vigilància és imprescindible en tots els pacients amb limfoma, tinguin o no símptomes.
Els limfomes són malalties poc freqüents en comparació amb altres tipus de tumors. Els limfomes no Hodgkin són la 6a causa de càncer a Europa i suposen només un 4% de tots els casos anuals, mentre que el limfoma de Hodgkin és encara més infreqüent: un 1% de tots els càncers anuals. Els limfomes són més freqüents en homes i en edats avançades, i la principal incidència es detecta entre els 70-80 anys. En pacients joves és més freqüent el limfoma de Hodgkin i alguns subtipus de limfoma no Hodgkin.
La incidència dels dos tipus de limfoma ha anat augmentant en els últims 20 anys i encara s’espera que continuï augmentant.
Els factors que s’associen a un risc més elevat de desenvolupar un limfoma no es coneixen tan bé com en altres tipus de càncer, però alguns tipus de limfoma semblen associar-se amb infeccions virals, determinades professions, exposició a tòxics, alteracions del sistema immunitari o radiacions ionitzants. Encara que es poden diagnosticar més casos de limfoma en la mateixa família, no es pot predir el risc real en els familiars d'un pacient amb limfoma, i, per tant, no són útils les proves de screening.
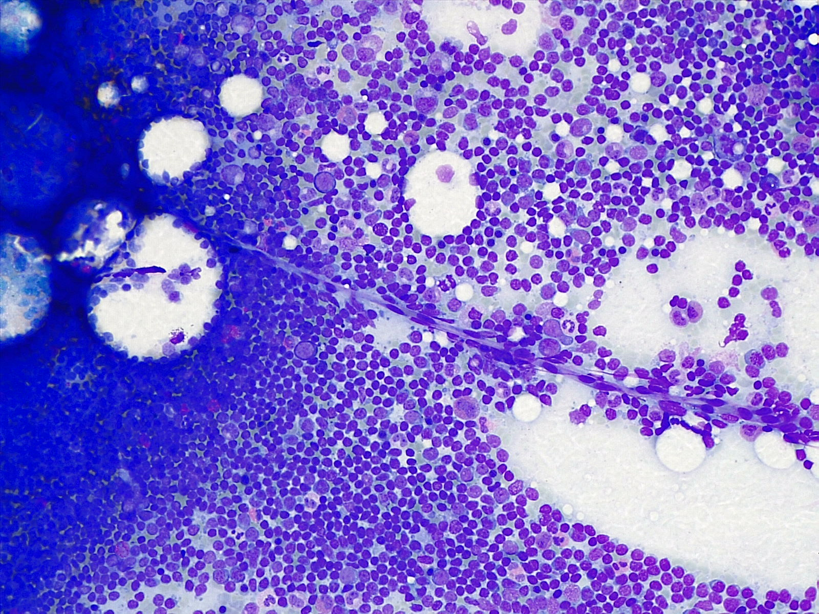
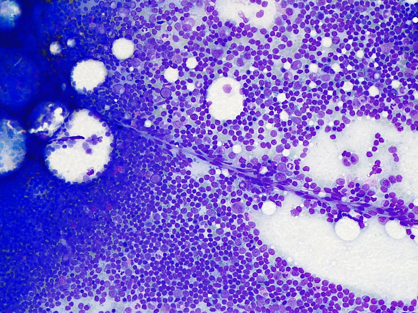
Per diagnosticar un limfoma és imprescindible una biòpsia d'un gangli o massa tumoral sospitós. En la biòpsia es confirma o es descarta la sospita i es defineix el tipus de limfoma segons els criteris de l'OMS.
A continuació s'estudia l'extensió de la malaltia i possibles factors de risc individuals; en funció d’això es decideix el tipus i la intensitat del tractament. Per aquest motiu es fan proves de laboratori en sang i medul·la òssia, un examen físic complet i proves d'imatge que permetin valorar totes les possibles localitzacions d'un limfoma, generalment un TAC o un PET/TAC. Si a més hi ha sospita de limfoma en altres òrgans menys habituals, pot ser que calguin proves addicionals (per exemple, un estudi endoscòpic si se sospita malaltia intestinal, o una biòpsia cutània si sospitem que el limfoma afecta la pell, etc.).
El tractament dels limfomes es basa en esquemes de quimioteràpia, que es pot acompanyar en casos concrets de radioteràpia dirigida a un focus localitzat on volem intensificar l'efecte del tractament. En els limfomes B la quimioteràpia es combina amb un anticòs monoclonal, el rituximab, que en potencia l’eficàcia. En alguns tipus de limfoma, després del tractament pot ser necessari afegir alguna estratègia que prolongui la resposta obtinguda, com el trasplantament de medul·la òssia o els tractaments de manteniment.
El tipus de tractament s'individualitza segons el tipus de limfoma i el grau d'extensió, les característiques del pacient com l'edat i el seu estat de salut general, i si les expectatives permeten assolir el guariment de la malaltia o només té intenció pal·liativa.
El tractament d'un limfoma es pot fer també dins d’assaigs clínics, en els quals s'investiguen noves opcions terapèutiques que poden millorar els resultats dels tractaments actuals, o oferir opcions a pacients la malaltia dels quals no ha respost o ha reaparegut després dels tractaments rebuts. El vostre hematòleg us assessorarà sobre els assaigs disponibles i quin és el més adequat per al vostre cas.
L’acceptació d’aquestes condicions, suposa que doneu el consentiment al tractament de les vostres dades personals per a la prestació dels serveis que sol·liciteu a través d’aquest portal i, si escau, per fer les gestions necessàries amb les administracions o entitats públiques que intervinguin en la tramitació. Podeu exercir els drets esmentats adreçant-vos per escrit a web@vallhebron.cat, indicant clarament a l’assumpte “Exercici de dret LOPD”. Responsable: Hospital Universitari Vall d’Hebron (Institut Català de la Salut). Finalitat: Subscripció al butlletí del Vall d’Hebron Barcelona Hospital Campus on rebrà notícies, activitat i informació d’interès. Legitimació: Consentiment de l’interessat. Cessió: Si escau, VHIR. No es preveu cap altra cessió. No es preveu transferència internacional de dades personals. Drets: Accés, rectificació, supressió i portabilitat de les dades, limitació i oposició al seu tractament. L’usuari pot revocar el seu consentiment en qualsevol moment. Procedència: El propi interessat. Informació Addicional: La informació addicional es troba a https://hospital.vallhebron.com/politica-de-proteccio-de-dades