Seguim l'evolució del SARS-CoV-2 amb tècniques d'immunohistoquímica, hibridació in situ i PCR del teixit pulmonar

El Servei d'Anatomia Patològica estudia en mostres de teixit pulmonar la persistència del SARS-CoV-2.

18/06/2020

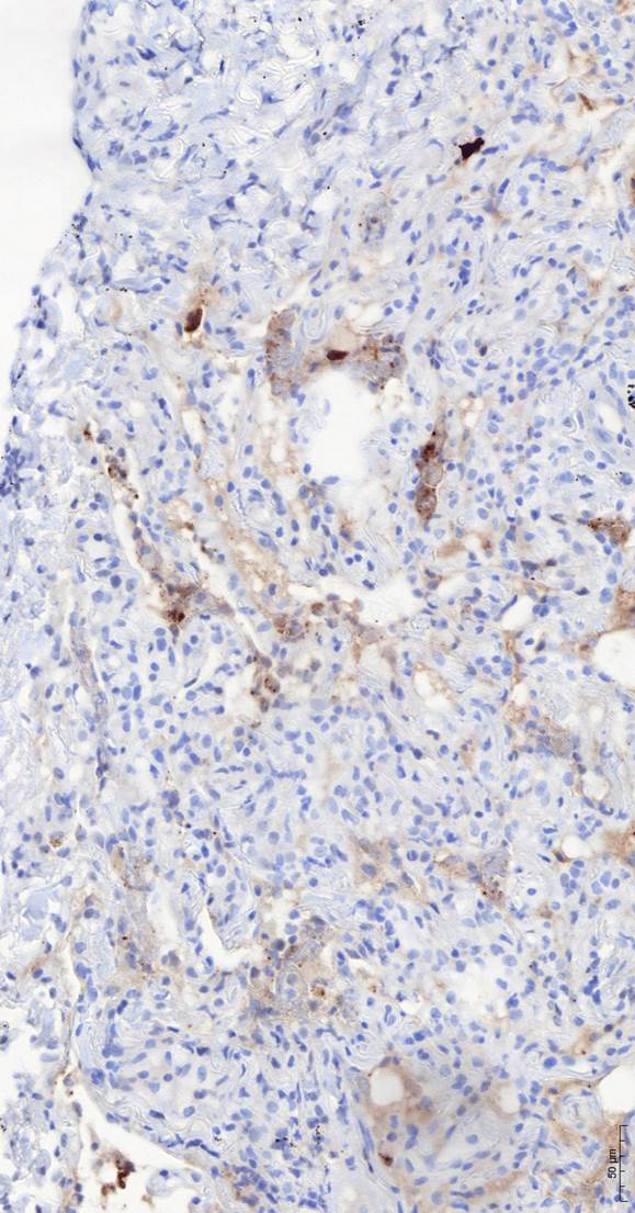
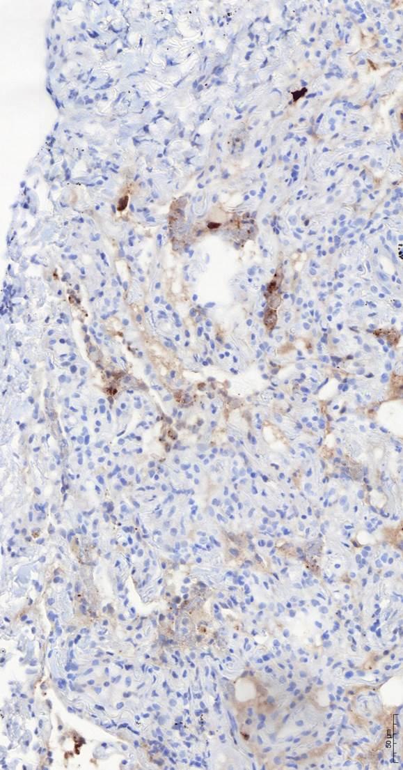
El Servei d'Anatomia Patològica ha optimitzat la identificació del SARS-CoV-2 en mostres tissulars de pulmó, tant de pacients morts com en seguiment per la COVID-19, amb l'objectiu de saber en quines cèl·lules persisteix el virus després de les seqüeles que poden patir aquests pacients. Els professionals de Vall d'Hebron estan identificant el SARS-CoV-2 per tècniques d'immunohistoquímica, hibridació in situ i PCR de teixit pulmonar, a més d'estudiar el virus per microscòpia electrònica. “Ens trobem a pacients que ja són PCR negatius en el frotis nasofaringi i en canvi tenen seqüències víriques a l'interior dels pulmons, ho estem estudiant”, explica el Dr. Santiago Ramon i Cajal, cap del Servei d'Anatomia Patològica.

La immunohistoquímica permet identificar proteïnes virals en els diferents teixits. És una tècnica que es basa en la incubació del teixit tissular amb anticossos que s'uneixen de manera específica a les proteïnes d'interès, avaluant-se el resultat amb un microscopi òptic. Respecte a la hibridació in situ, permet als professionals d'anatomia patològica visualitzar les seqüències del virus en les seccions de teixit pulmonar i identificar les cèl·lules que tenen del virus. “No es tracta només de proves diagnòstiques, ens interessen particularment en el seguiment d'aquests pacients ja que es calcula que un 20% d'aquells que han sobreviscut després d'una pneumònia a causa de la COVID-19 tindran seqüeles pulmonars”, exposa el Dr. Santiago Ramon i Cajal.

Comparteix-lo:

Subscriu-te als nostres butlletins i forma part de la vida del Campus

Aquesta pregunta es fa per comprovar si vostè és o no una persona real i impedir l'enviament automatitzat de missatges brossa.

L’acceptació d’aquestes condicions, suposa que doneu el consentiment al tractament de les vostres dades personals per a la prestació dels serveis que sol·liciteu a través d’aquest portal i, si escau, per fer les gestions necessàries amb les administracions o entitats públiques que intervinguin en la tramitació. Podeu exercir els drets esmentats adreçant-vos per escrit a web@vallhebron.cat, indicant clarament a l’assumpte “Exercici de dret LOPD”.
Responsable: Hospital Universitari Vall d’Hebron (Institut Català de la Salut).
Finalitat: Subscripció al butlletí del Vall d’Hebron Barcelona Hospital Campus on rebrà notícies, activitat i informació d’interès.
Legitimació: Consentiment de l’interessat.
Cessió: Si escau, VHIR. No es preveu cap altra cessió. No es preveu transferència internacional de dades personals.
Drets: Accés, rectificació, supressió i portabilitat de les dades, limitació i oposició al seu tractament. L’usuari pot revocar el seu consentiment en qualsevol moment.
Procedència: El propi interessat.
Informació Addicional: La informació addicional es troba a https://hospital.vallhebron.com/politica-de-proteccio-de-dades